In Chair Teeth Whitening

Whether you want a confidence boost, have a special occasion or just want to look your best, whitening remains the most-requested cosmetic dental procedure. We perform free consultations before any whitening treatment to ensure that you are a suitable candidate and discuss options available to you.

teeth whitening

Zoom Teeth Whitening

We use Australia’s leading Philips professional Zoom teeth whitening that incorporates an LED light to accelerate whitening for maximum results in minimal time. We ensure that the zoom whitening process is comfortable and with our adjustable intensity Zoom light settings, we can customise this to eliminate sensitivity with little to no discomfort, and because a qualified dental professional is involved, the process is safe and reliable.

OUR POINT OF DIFFERENCE

Hydrogen Peroxide
25% Hydrogen Peroxide
Instant Results In 60 Minutes -NO Multiple Visits Required
Instant Results In 60 Minutes -NO Multiple Visits Required
Up To 8-12 Shades Whiter Teeth
Up To 8-12 Shades Whiter Teeth
Safe On Your Enamel And Gums
Safe On Your Enamel And Gums

Types Of Whitening

IN CHAIR TEETH WHITENING

This method is performed in our clinics and offers immediate results with your whitest smile in just 60 minutes with up to 8-12 shades whiter teeth. Results are achieved in only one sitting and don’t require repeated visits due to the high peroxide levels administered by our dental practitioners.
Results can last up to 9-12 months making this an effective long-term result.

TAKE HOME TEETH WHITENING KIT

Take home kits are a more cost effective option that provides Visible results in as little as 7 days. It involves repeated applications and uses a lower peroxide percentage due to safety measures for home use. It is also important to consider the type of staining you have as some stains are harder to remove. Take home options are less equipped to remove the deep stains and often are added as a maintenance option after in chair whitening.

IN CHAIR TEETH WHITENING

This method is performed in our clinics and offers immediate results with your whitest smile in just 60 minutes with up to 8-12 shades whiter teeth. Results are achieved in only one sitting and don’t require repeated visits due to the high peroxide levels administered by our dental practitioners.
Results can last up to 9-12 months making this an effective long-term result.

TAKE HOME TEETH WHITENING KIT

Take home kits are a more cost effective option that provides Visible results in as little as 7 days. It involves repeated applications and uses a lower peroxide percentage due to safety measures for home use. It is also important to consider the type of staining you have as some stains are harder to remove. Take home options are less equipped to remove the deep stains and often are added as a maintenance option after in chair whitening

IN CHAIR TEETH WHITENING

This method is performed in our clinics and offers immediate results with your whitest smile in just 60 minutes with up to 8-12 shades whiter teeth. Results are achieved in only one sitting and don’t require repeated visits due to the high peroxide levels administered by our dental practitioners.
Results can last up to 9-12 months making this an effective long-term result.

TAKE HOME TEETH WHITENING KIT

Take home kits are a more cost effective option that provides Visible results in as little as 7 days. It involves repeated applications and uses a lower peroxide percentage due to safety measures for home use. It is also important to consider the type of staining you have as some stains are harder to remove. Take home options are less equipped to remove the deep stains and often are added as a maintenance option after in chair whitening

Real Talk

The teeth-whitening industry is largely unregulated so why are we the place to go?

In simple terms salons do not have the level of qualification that’s dentists do and are not able to advise on whether the process is appropriate for your kind of discolouration or perform a dental check-up.

Salons are restricted on the concentrates they use due to regulations and limit the strength to six percent hydrogen (18% carbamide peroxide) which may result in little or no change to tooth colour. Dentists are however allowed to do what’s called ‘power bleaching’ with strong hydrogen peroxide bleach up to 25% hydrogen peroxide, providing you with instant results in just 60 minutes.

Before your treatment begins our dentists will assess your teeth and may recommend having your teeth professionally cleaned by us to remove any plaque build-up and ensure optimum results. Once your whitening session is completed, teeth need to be re-mineralised otherwise they could end up more stained than when you started. We will re-mineralise your teeth after your in-chair Zoom whitening treatment.

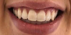
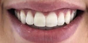
TEETH WHITENING BEFORE AND AFTER

Before

In Chair Teeth Whitening Before 1

After

In Chair Teeth Whitening Before After 1

Before

In Chair Teeth Whitening Before 1

After

In Chair Teeth Whitening After 1

Before

In Chair Teeth Whitening Before 1

After

In Chair Teeth Whitening After 1

Before

In Chair Teeth Whitening Before 1

After

In Chair Teeth Whitening After 1

Before

In Chair Teeth Whitening Before 1

After

In Chair Teeth Whitening After 1

FAQ’S

Learn more about what to expect from our cosmetic dentistry services with our frequently asked questions.

HOW LONG DOES TEETH WHITENING LAST?

The length of time you can expect your teeth whitening treatment to last is dependent on a number of factors, including the type of treatment you receive and your lifestyle habits. 

Some types of teeth whitening treatments are far more effective than others. In-chair whitening, for example, is likely to last longer than a take-home teeth whitening kit. 

As is the case with many dental procedures, how often you brush and floss your teeth and the types of food and drink you consume will also impact the long-term effectiveness of treatment.

HOW SAFE IS HYDROGEN PEROXIDE?

Hydrogen peroxide is a chemical compound commonly found in bleaching products, including teeth whitening kits. But is it safe for your teeth?

There are two factors that dictate how safe hydrogen peroxide is: the formula strength and the length of time it spends applied to your teeth. Unregulated providers of teeth whitening services may not understand this or the safety considerations that come with using teeth whitening products. They may utilise hydrogen peroxide formulas in a manner that damages your teeth.

By making an appointment with ADentaire Smile Studio, you can be confident that your teeth will be assessed and treated by a qualified dentist who understands hydrogen peroxide and how to apply it in a safe and effective manner. For experienced Zoom teeth whitening in Gurgaon, visit Dentaire Smile Studio.

I HAVE CAPS OR VENEERS: CAN I WHITEN MY TEETH?

Caps and veneers are other types of cosmetic dental treatment that are commonly used to improve the appearance of your smile. Many patients wonder if Zoom whitening treatments are as effective on these materials as they are on natural teeth.

Generally speaking, teeth whitening will only bring crowns, caps, and veneers back to their original colour. The procedure will not whiten them beyond this point. 

Crowns and veneers are designed by our dentists and in-house ceramicists to match the whiteness of your existing teeth. If you are thinking about getting crowns or veneers and are also concerned about the whiteness of your natural teeth, book a smile consultation with our qualified and experienced team. They’ll be able to advise you of your options and ensure the procedures are conducted in the correct order to guarantee your dream smile.

CAN ANYONE HAVE THEIR TEETH WHITENED?

Generally speaking, teeth whitening is a safe and effective procedure for most patients. However, there are always exceptions. Pregnant or breastfeeding patients may be advised to avoid teeth whitening procedures, and those with pre-existing sensitive teeth may also want to pursue other treatment methods.

In chair teeth whitening tends to work best for patients whose teeth are discoloured due to age and stains from food and drink. Teeth whitening may not be as effective for those suffering from discoloured teeth due to injury, medication, or genetics.

Prior to conducting in-chair teeth whitening treatments, the team at Dentaire Smile Studio will perform a thorough consultation to ensure that the procedure will give you the results you are after. For high-quality Zoom whitening in Gurgaon, contact Dentaire Smile Studio today.

WILL TEETH WHITENING DAMAGE MY TEETH?

Many people mistakenly believe that teeth whitening will damage your teeth. However, as is the case with many types of cosmetic procedures, providing that the process is performed by a qualified dentist, there is little risk to your dental health. 

The teeth whitening industry is, to some extent, unregulated, meaning those who perform teeth whitening procedures at beauty salons are unlikely to have the dental knowledge or experience to detect problems with your teeth. They may recommend whitening products or procedures that actually do harm to your oral health or apply them in a way that leads to infection.

Prior to performing a whitening procedure, the qualified team at Dentaire Smile Studio Dental will perform a free consultation to ensure you are a suitable candidate and discuss the teeth whitening options available to you. 

Salons are also limited on the concentrates they can use, meaning their teeth whitening services are often not as effective as those provided by a dentist. Our dentists are permitted to perform a procedure known as ‘power bleaching’, which involves using a 25% hydrogen peroxide solution to provide impressive and effective results in a very short period of time.

Our whitening solution also contains amorphous calcium phosphate (ACP), which will reduce tooth sensitivity, protect enamel, and improve the smoothness of your teeth.

If you are looking for a clinic that provides safe and effective teeth whitening in Gurgaon, ensure you visit the qualified and experienced team at Dentaire Smile Studio

SHOULD I EXPECT SENSITIVE TEETH AFTER TREATMENT?

Another common concern is that teeth whitening leads to sensitive teeth. This is linked to the belief that hydrogen peroxide can strip the enamel from your teeth, exposing the nerves underneath.

Provided that a qualified dentist performs your teeth whitening procedure, you should not experience overly sensitive teeth post-treatment. The dentist will understand exactly what products to apply, in what concentrations, and for the correct length of time to reduce the risk of sensitivity.

Prior to your teeth whitening treatment, Dentaire Smile Studio will provide a free consultation to ensure you’re a suitable candidate. If there are weaknesses found that increase the likelihood of developing sensitive teeth, we may recommend alternative treatment options.

While mild teeth sensitivity may occur post-whitening, the sensation should disappear in a few short hours.

HOW LONG AFTER TEETH WHITENING CAN I EAT AND DRINK?

Your Dentaire Smile Studio dentist will be able to provide a precise and tailored answer to this question. How long you have to wait to eat and drink following a whitening treatment may depend on the procedure you undertake (in-chair or take-home teeth whitening) as well as other factors.

Your dentist may also recommend avoiding certain foods and drinks that are more likely to stain your teeth for a longer period of time.

Leave a Comment

en_USEnglish